👛 Знижка -7 500 грн на всі брекети в ортодонта Євгенія Острогляда >>

м. Житомир,
Івана Сльоти, 50а

Пн-Пт:
Сб:
08-20
09-15

НОВА ПОСМІШКА
СТОМАТОЛОГІЯ
Пн-Пт:
Сб:
08-20
09-15

Акція: -7 500 грн
на всі брекети у ортодонта
Євгенія Острогляда
👉Переглянути акційні ціни
Вартість консультації – 500-700 грн







Сергій
Шевчук

Ортодонтичний етап – 2р.



Сергій
Шевчук

1р. 9міс



Сергій
Шевчук

2р. 9міс



Сергій
Шевчук

2р. 2міс



Сергій
Шевчук

2р. 2міс
Вартість консультації – 500-700 грн
Вартість консультації – 500-700 грн

Вартість консультації – 700грн

Вартість консультації – 500грн


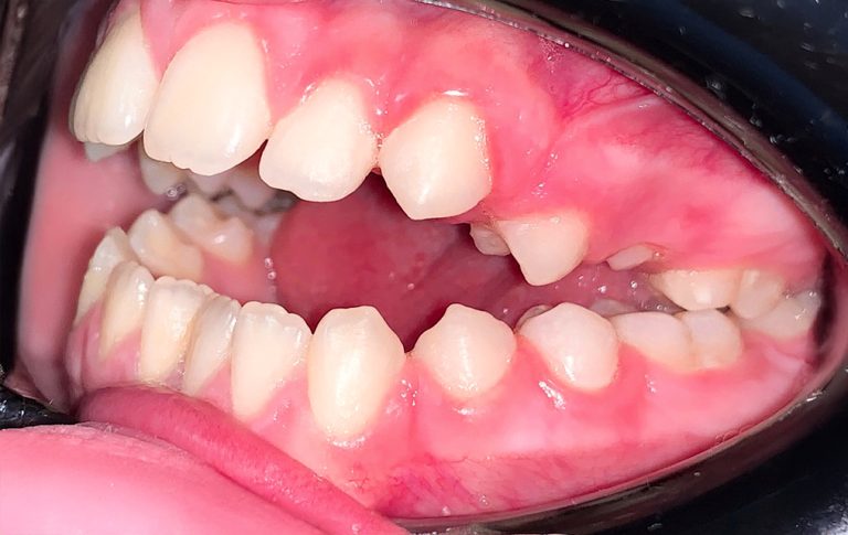
Коли верхній зубний ряд перекриває нижній більше ніж на 1/3


Коли 2 щелепи змикаються тільки в області жувальних зубів, а спереду – ні


Коли верхня щелепа висунута вперед по відношенню до нижньої


Коли нижня щелепа висовується перед верхньою






а також зуби що повернуті навколо своєї осі




Імпланти, коронки, мости неможливо пересунути тому перед цими процедурами обов’язково треба вирівняти зуби.
Також є випадки коли для постановки імпланта немає місця між зубами тому ми спочатку розсуваємо зуби, щоб звільнити для нього місце, а потім проводимо імплантацію.


Дистопія – це неправильне положення окремих зубів відносно зубного ряду.
Зазвичай це постійні ікла тому що вони прорізуються одними з останніх, а їхнє місце на момент прорізування вже може бути зайняте і їм нічого не залишається, як займати місце в другому ряду.
Таке трапляється через невідповідність розмірів зубів і щелеп (наприклад, коли розмір зубів передався від одного з батьків, а розмір щелеп – від іншого). Пізнє випадання молочних зубів так само заважає правильному прорізуванню постійних ікол.
Не знайшли свого випадку? – тисніть на кнопку 👇 щоб зателефонувати і адміністратор запропонує Вам альтернативні способи лікування
Вартість консультації – 500-700 грн

Кріпляться ззовні зубів

🚫Ми не встановлюємо цей тип брекетів через їх низьку ефективність.
Встановлюються з внутрішньої сторони зубів

✅ Ми радимо встановлювати саме металеві брекети тому що вони вирішують найважчі вади прикусу.
Можуть бути лігатурні та самолігуючі (про це далі)

Можуть бути лігатурні та самолігуючі

Можуть бути лігатурні та самолігуючі

Цей тип брекетів передбачає кріплення металевої дуги до замків за допомогою гумок або дротів – лігатур.
За матеріалами можуть бути металеві, керамічні та сапфірові

Цей тип брекетів передбачає кріплення металевої дуги до замків за допомогою гумок або дротів – лігатур.
За матеріалами можуть бути металеві, керамічні та сапфірові

Металева дуга кріпиться за допомогою кліпс. Кліпси дають більшу свободу ковзання дуги оскільки майже повністю зникає тертя між дугою і пазами.
За матеріалами можуть бути металеві та керамічні

Встановлюються дітям у яких постійний зубний ряд ще не повністю сформувався
В більшості випадків ми ставимо металеві лігатурні брекети тому що вони найбільш надійні.
Ми дослухаємося до Ваших побажань щодо естетики, але останнє слово щодо вибору брекетів – за лікарем
Вартість консультації – 500-700 грн
Адміністратор:
Ми нікому не передамо Ваші дані


Перед консультацією у ортодонта потрібно зробити наступні знімки:
Всі ці знімки можна зробити у нас – не треба нікуди додатково бігати!

Візит 1

30хв

500-700грн

Підготовчі процедури не включені в вартість встановлення брекетів.

Візит 2

Входить в вартість брекетів
Наступний огляд через місяць!Лікар обточує зуб, щоб при одяганні вініра він не тиснув на сусідні зуби, не виступав за межі зубного ряду.

1 візит на місяць для лігатурних брекетів
1 візит на 2 місяці для самолігуючих брекетів
В більшості випадків тривалість лікування 12-18 місяців, в особливо складних випадках – 3-4роки
Під час контрольного огляду лікар може проводити такі процедури:



2000грн за щелепу
Ми також надаємо ретенційну капу яку потрібно вдягати на ніч.
Ретенційна капа і ретейнер потрібні для закріплення результату лікування, щоб зуби не повернулися в попереднє положення.
Їх потрібно носити в 2 рази довше ніж Ви носили брекети (це називається ретенційний період), в деяких випадках до кінця життя.

Вартість консультації – 500-700 грн
Брекети можна встановити коли верхівки коренів зуба повністю сформувалася, тобто у віці 12-16років.
Вирівнювання зубів найефективніше в ранньому віці. Якщо ж Ваша дитина ще не досягла 12 років – можна лікуватися за допомогою знімних (пластинок) або незнімних ортодонтичних апаратів.
Ніколи не пізно ставити брекети. Інколи захворювання що зв’язані з віком (такі як остеопороз) можуть бути протипоказанням до ортодонтичного лікування, в інших випадках немає жодних вікових обмежень. Проте чим раніше Ви почнете вирівнювати зуби – тим краще, адже в молодшому віці лікування буде швидшим.
Найстарший пацієнт якому ми ставили брекети мав 50 років.
Так, під час носіння брекетів існують певні обмеження в харчуванні. Це пов’язано з тим, що деякі продукти можуть пошкодити брекет-систему або ускладнити гігієнічний догляд за порожниною рота.
Основні обмеження:
Рекомендації:
Для неконтактних видів спорту таких як біг, танці, йога немає жодних обмежень.
При контактних видах спорту таких як хокей, баскетбол, футбол та бойові мистецтва варто носити спеціальну захисну капу.
Для успішного догляду за зубами знадобляться такі аксесуари:
Також радимо придбати ортодонтичний пенал в якому ви зможете носити всі ці засоби з собою, адже варто чистити зуби після кожного прийому їжі.
Про догляд за зубами під час носіння брекетів лікар детальніше розкаже Вам після їх встановлення.
Важливо ретельно доглядати за зубами під час носіння брекетів, інакше навколо них може накопичитися зубний наліт, а згодом карієс – тому важливо починати лікування з високим ступенем мотивації.
Більшість з цих засобів для догляду Ви зможете придбати в нашій стоматології
Псують зуби не брекети, а недостатньо ретельний догляд за зубами під час їх носіння. Брекети щільно прилягають до зубів тому що фіксуються на спеціальний клей, тому під ними не може виникнути карієс, але при недостатньо ретельному догляді навколо брекета може скупчуватися зубний наліт який може перетворитися на карієс.
У випадку якщо карієс розвинувся то після зняття брекетів може знадобитися реставрація.
Саме тому починати лікування варто з високим ступенем мотивації – тільки в такому випадку пацієнт буде ретельно доглядати за зубами.
В більшості випадків 12-18 місяців, а в особливо складних випадках 3-4 роки.
Після цього наступає етап закріплення результату (ретенційний період) під час якого зуби з задньої сторони скріплюються ретейнером, а також на ніч вдягається ретенційна капа на період в 2 рази довший ніж лікування брекетами, в деяких випадках на все життя.
Якщо не провести ретенційний період то зуби можуть повернутися в попереднє положення.
Можуть бути больові відчуття декілька тижнів після встановлення – але це більше ниючий біль ніж гострий. Буде неприємно їсти тверду їжу
Не обов’язково, але непрорізані зуби мудрості потрібно видаляти в більшості випадків. Головне показання – недостатня кількість місця в зубному ряду. Це потрібно для того щоб збільшити прогнозованість результату ортодонтичного лікування.
Ми не знаємо коли зуб мудрості почне прорізуватися і якщо він проріжеться то викличе зсув зубного ряду – саме тому краще перестрахуватися і видалити їх.
Більшість повторних звернень після закінчення ортодонтичного лікування приходять саме від тих пацієнтів які відмовилися видалити зуби мудрості.
Також зуби мудрості заважають ортодонтичному лікуванню – через них VI-VII зуби важче пересовувати назад.
Розширення щелепи це скелетна зміна, а брекети змінюють тільки положення зубів тому для для цієї задачі потрібен ортодонтичний апарат з розширення щелепи який кріпиться до піднебіння.
В більшості випадків потрібно встановити на 2 щелепи. Це тому що зміни на 1 щелепі впливають на іншу
Брекети на 1 щелепу не підійдуть якщо:
Брекети на 1 щелепу можна встановлювати в такий випадках:
Брекети можна встановлювати якщо у Вас імплант або коронка, але ними не можна вирівнювати зуби в районі цих конструкцій – тому що ці конструкції не можна перемістити.
Тому варто спочатку вирівняти зуби – потім встановлювати імплант або проводити протезування зубів.
Ні, брекети – це незнімний ортодонтичний апарат який треба носити протягом усього курсу лікування.
Після зняття брекетів наступає ретенційний період що передбачає закріплення ретейнера з задньої сторони зубів і вдягання ретенційної капи на ніч. Це потрібно для закріплення результатів і цей період триває в 2 рази довше від тривалості лікування, а подекуди ретейнер і капу потрібно носити все життя.
Ретейнер тримає передніх 6 зубів, а капа – увесь зубний ряд. Якщо не носити капу, то бокова/задня група зубів може повернутися в попереднє положення.
Ставити сапфірову/керамічну брекет-систему на верхню щелепу, а металеву на нижню (де її буде менше видно) – це поширена практика, але ми не рекомендуємо так робити.
Залишились питання? Залиште заявку і ми з радістю на них відповімо
Вартість консультації – 500-700 грн
Прозора ціна – наш принцип. Тому ціна, яку ви бачите на нашому сайті, є наскільки це можливо точною і включає в себе всі необхідні етапи лікування.
☝️Для точного розрахунку вартості запрошуємо Вас на консультацію лікаря
Консультація
у ортодонта Сергія Шевчука
700 грн
у ортодонта Євгенія Острогляда
500 грн
Під час консультації ми проведемо діагностику, зберемо анамнез складемо план та розпишемо вартість лікування.
Панорамний знімок зубів (Ортопантомограма, ОПТГ) 2 щелепи
500 грн
ТРГ (Телерентгенограма) у боковій проекції
500 грн
ТРГ у прямій проекції
500 грн
КТ (Комп’ютерна томографія) 1 щелепи
500 грн
КТ кореневих каналів 2-3 зубів
500 грн
КТ скронево-нижньощелепного суглобу
500 грн
Перед встановленням брекетів варто прибрати всі можливі джерела інфекції та вогнища запалення – не зробивши цього ми ризикуємо розвинути карієс навколо брекетів.
Лікування карієсу та його ускладнень
індивідуально
Професійна гігієна всіх зубів
2 200 грн
Видалення 1 зуба мудрості
індивідуально
Зуби мудрості варто видаляти для передбачуваності лікування. Вони тиснуть на зубний ряд чим спричиняють скупчення зубів що уповільнює лікування, а також може спричинити рецидив після зняття брекетів.
Ціни подані за 1 щелепу. Встановлення входить в ціну
Часткова металева лігатурна 🇺🇸Аmerican Оrthodontics™
10 000 грн
Металева лігатурна 🇺🇸Аmerican Оrthodontics™ Mini Master®
у ортодонта Сергія Шевчука
20 000 грн
у ортодонта Євгенія Острогляда
12 500 грн
Металева самолігуюча 🇺🇸Аmerican Оrthodontics™ Empower®
у ортодонта Сергія Шевчука
25 000 грн
у ортодонта Євгенія Острогляда
17 500 грн
Сапфірова
у ортодонта Сергія Шевчука
27 000 грн
у ортодонта Євгенія Острогляда
19 500 грн
Керамічна самолігуюча 🇯🇵GC Orthodontics Chic
у ортодонта Сергія Шевчука
27 000 грн
у ортодонта Євгенія Острогляда
19 500 грн
Керамічна самолігуюча 🇺🇸Аmerican Оrthodontics™ Empower® Clear
у ортодонта Сергія Шевчука
30 000 грн
у ортодонта Євгенія Острогляда
22 500 грн
Металева самолігуюча 🇺🇸Damon™ Q
у ортодонта Сергія Шевчука
30 000 грн
у ортодонта Євгенія Острогляда
22 500 грн
Металева самолігуюча 🇺🇸Pitts 21
у ортодонта Сергія Шевчука
30 000 грн
у ортодонта Євгенія Острогляда
22 500 грн
Керамічна самолігуюча 🇺🇸Damon™ Clear
у ортодонта Сергія Шевчука
35 000 грн
у ортодонта Євгенія Острогляда
27 500 грн
Корекція брекет-системи (ціна за 1 щелепу)
800 грн
Проводиться приблизно 1 раз на місяць для лігатурних брекетів, та 1 раз на 2 місяці для самолігуючих. Під час нього може проводитися: кріплення еластиків, ортодонтичної пружини, нанесення ортодонтичного воску, підклеювання/переклеювання брекета, заміна дуги – все це включено в ціну корекції.
Встановлення мікроімпланта
3 500 грн
Встановлюються досить часто. Процедура абсолютно безболісна, але допомагає значно пришвидшити лікування деяких вад прикусу. Мікроімплант ставиться для того, щоб прикріпити до нього пружину яка тягне потрібні нам зуби або цілу секцію зубного ряду в потрібне нам місце.
Зняття брекетів, професійна чистка, встановлення ретейнера (1 щелепа)
3 500 грн
Ретенційна капа
3 500 грн
Вдягається на ніч
Контрольний огляд
у ортодонта Сергія Шевчука
700 грн
у ортодонта Євгенія Острогляда
500 грн
Првоодиться раз на рік
Вартість консультації – 500-700 грн

Підберемо анестезію так, щоб не боліло. Навіть найскладніші операції в нас за відчуттями “як комарик укусив”.

В нас є генератор що дозволяє надавати всі стоматологічні послуги при відсутності струму: від пломбування до імплантації.

Він дозволяє нам працювати з ювелірною точністю. Це мінімізує ризик помилок, забезпечує надійне лікування каналів та значно знижує ймовірність повторного запалення. А точне препарування зуба під коронку гарантує ідеальну посадку і довговічність конструкції.

Кожен наш кабінет обладнаний великим екраном і якісною аудіоапаратурою. Під час лікування ми можемо включити Вашу улюблену пісню, подкаст або фільм.

Вартість консультації – 500-700 грн
Важливо: наведена інформація є ознайомчою. Рішення про можливість встановлення брекетів приймається виключно лікарем-ортодонтом та іншим профільним лікарем після ретельного огляду та консультації.
Ортодонтичне лікування вимагає від пацієнта відповідальності та дисципліни. Недостатня мотивація може призвести до недотримання рекомендацій лікаря, поганої гігієни порожнини рота та псуття зубів. У таких випадках встановлення брекетів не рекомендується.
Остеопороз – це захворювання, яке характеризується зниженням щільності кісткової тканини. Це може вплинути на здатність кісток до перебудови під час ортодонтичного лікування. У пацієнтів з остеопорозом під час носіння брекетів є вищий ризик резорбції коренів зубів (скорочення їх довжини) та інших ускладнень. У таких випадках необхідна консультація з ортодонтом та ретельна оцінка ризиків і переваг ортодонтичного лікування.
При наявності запальних процесів в ротовій порожнині (гінгівіт, пародонтит, стоматит) протипоказано встановлювати брекети. Необхідно спочатку усунути запалення та вилікувати захворювання, а потім розглядати можливість ортодонтичного лікування.
Цукровий діабет може вплинути на загоєння тканин та збільшити ризик розвитку інфекцій. У пацієнтів з цим захворюванням ортодонтичне лікування вимагає особливої обережності та контролю рівня цукру в крові. У деяких випадках, при неконтрольованому діабеті, встановлення брекетів може бути протипоказане.
В більшості випадків ми посилаємо до ендокринолога, щоб той оцінив чи доцільне ортодонтичне лікування у Вашому випадку.



Вартість консультації – 500грн

Євгеній Острогляд,
Ортодонт










Нижня щелепа


Верхня щелепа
Вартість консультації – 500-700 грн
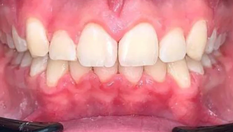
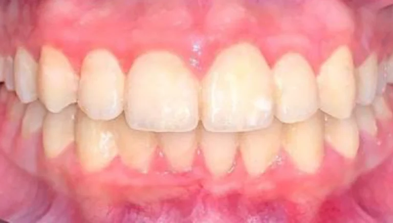
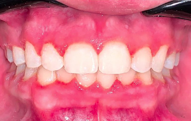
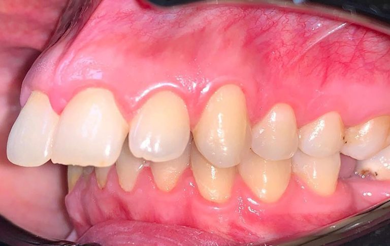
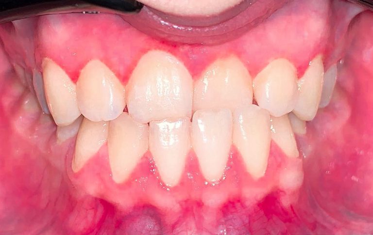
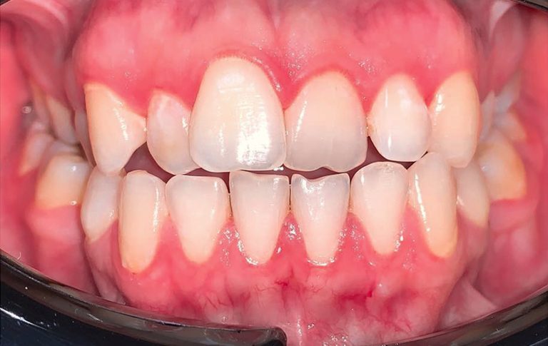
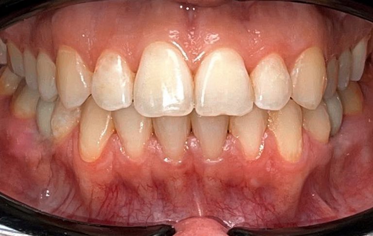
Стан пацієнтки на початок лікування:
Внизу Ви можете бачити фотографії початкового стану зубів




Дивіться відеоогляд випадку 👇
Перед тим як приступити до імплантації необхідно усунути всі запальні вогнища та інфекції, та максимально очистити ротову порожнину, інакше є ризик що інфекція перекинеться на місце приживлення імпланта.
Постановка імплантів не має сенсу якщо сусідні зуби в неправильному положенні, тож спочатук потрібно було їх вирівняти.

Сергій
Шевчук








Металевий кружечок який ви бачите на зображенні – це формувач ясен який тимчасово встановлюється на імплант

Віталій
Замятін




Всі перечислені ортопедичні конструкції виготовлені з кераміки

Артур
Гончарук
















Вартість консультації – 500-700 грн

Наші адміністратори зв’яжуться з Вами відразу як звільняться.


м. Полтава, Українська медична стоматологічна академія
«Діагностика та лікування інфекційних захворювань слизової оболонки порожнини рота у дітей» в Українській медичній стоматологічній академії