Знижка -7 500 грн на всі брекети в ортодонта Євгенія Острогляда >>

м. Житомир,
Івана Сльоти, 50а

Пн-Пт:
Сб:
08-20
09-15

НОВА ПОСМІШКА
СТОМАТОЛОГІЯ
Пн-Пт:
Сб:
08-20
09-15


Підберемо анестезію так, щоб не боліло. Навіть найскладніші операції в нас за відчуттями “як комарик укусив”.

В нас є генератор що дозволяє надавати всі стоматологічні послуги при відсутності струму: від пломбування до імплантації.

Він дозволяє нам працювати з ювелірною точністю. Це мінімізує ризик помилок, забезпечує надійне лікування каналів та значно знижує ймовірність повторного запалення. А точне препарування зуба під коронку гарантує ідеальну посадку і довговічність конструкції.

Кожен наш кабінет обладнаний великим екраном і якісною аудіоапаратурою. Під час лікування ми можемо включити Вашу улюблену пісню, подкаст або фільм.

Залишити відгук
“Сам процес пройшов максимально комфортно, безболісно. Лікар коментував кожен свій крок, питав, переживав”
“Процедура імплантації пройшла дуже комфортно, безболісно, хоча перед цим я дуже сильно хвилювався – але все пройшло на вищому рівні”
“Це не було боляче, мені сподобалось. Мені не було страшно. Мені сподобались іграшки та картини.”
“З першої хвилини все було на найвищому рівні. Мене зустріли привітні адміністратори. Лікар провів детальний огляд та зрозуміло все пояснив”
“Вже після першого візиту відчула покращення, а після курсу лікування зник дискомфрот і ясна стали здоровими”



Сергій
Шевчук



Сергій
Шевчук



Сергій
Шевчук



Тетяна
Єгоренкова



Тетяна
Єгоренкова



Тетяна
Єгоренкова



Дарина
Бучинська



Дарина
Бучинська



Дарина
Бучинська



Михайло
Каменчук



Михайло
Каменчук



Михайло
Каменчук



Андрій
Пархомчук



Андрій
Пархомчук


Віталій
Замятін



Віталій
Замятін



Андрій
Пархомчук
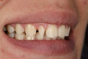
Стан пацієнтки на початок лікування:
Внизу Ви можете бачити фотографії початкового стану зубів




Дивіться відеоогляд випадку 👇
Перед тим як приступити до імплантації необхідно усунути всі запальні вогнища та інфекції, та максимально очистити ротову порожнину, інакше є ризик що інфекція перекинеться на місце приживлення імпланта.
Постановка імплантів не має сенсу якщо сусідні зуби в неправильному положенні, тож спочатук потрібно було їх вирівняти.

Сергій
Шевчук








Металевий кружечок який ви бачите на зображенні – це формувач ясен який тимчасово встановлюється на імплант

Віталій
Замятін




Всі перечислені ортопедичні конструкції виготовлені з кераміки

Артур
Гончарук
















Перед тим як приступити до імплантації необхідно усунути всі запальні вогнища та інфекції, та максимально очистити ротову порожнину, інакше є ризик що інфекція перекинеться на місце приживлення імпланта.
Постановка імплантів не має сенсу якщо сусідні зуби в неправильному положенні, тож спочатук потрібно було їх вирівняти.

Сергій
Шевчук
“Процедура імплантації пройшла дуже комфортно, безболісно, хоча перед цим я дуже сильно хвилювався – але все пройшло на вищому рівні”
Металевий кружечок який ви бачите на зображенні – це формувач ясен який тимчасово встановлюється на імплант

Віталій
Замятін



Артур
Гончарук

























м. Київ, НМУ ім. О.О. Богомольця
НМАПО ім П. Л. Шупика
НМУ ім. О.О. Богомольця – спеціалізація «Ортодонтія»

м. Полтава, Українська медична стоматологічна академія
«Діагностика та лікування інфекційних захворювань слизової оболонки порожнини рота у дітей» в Українській медичній стоматологічній академії

Житомирський базовий медичний коледж
КВНЗ “Житомирський медичний інститут”

Тернопільський державний медичний університет ім І.Я. Горбачевського
Вінницький національний медичний університет ім М.I. Пирогова

Вінницький національний медичний університет ім. М. І. Пирогова
2018-2020 ВНМУ при ЖОСМО
НМАПО ім. П.Л. Шупика спеціалізація з хірургічної стоматології і ЩЛХ

Вінницький національний медичний університет ім. М. І. Пирогова
Вінницький національний медичний університет ім. М. І. Пирогова

Тернопільський національний медичний університет імені І.Я Горбачевського
м.Київ, Національний медичний університет імені О.О Богомольця

Львівський національний медичний університет імені Данила Галицького
Стоматологічний медичний центр Львівського національного медичного університету імені Данила Галицького

Наші адміністратори зв’яжуться з Вами відразу як звільняться.
